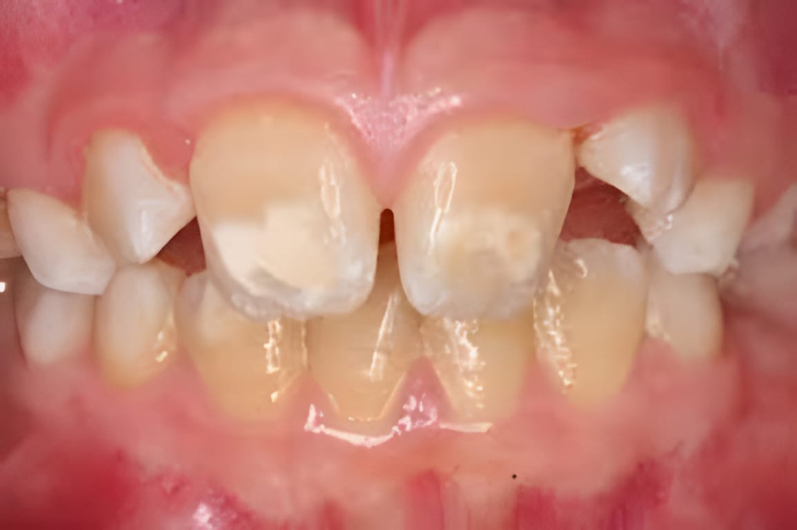
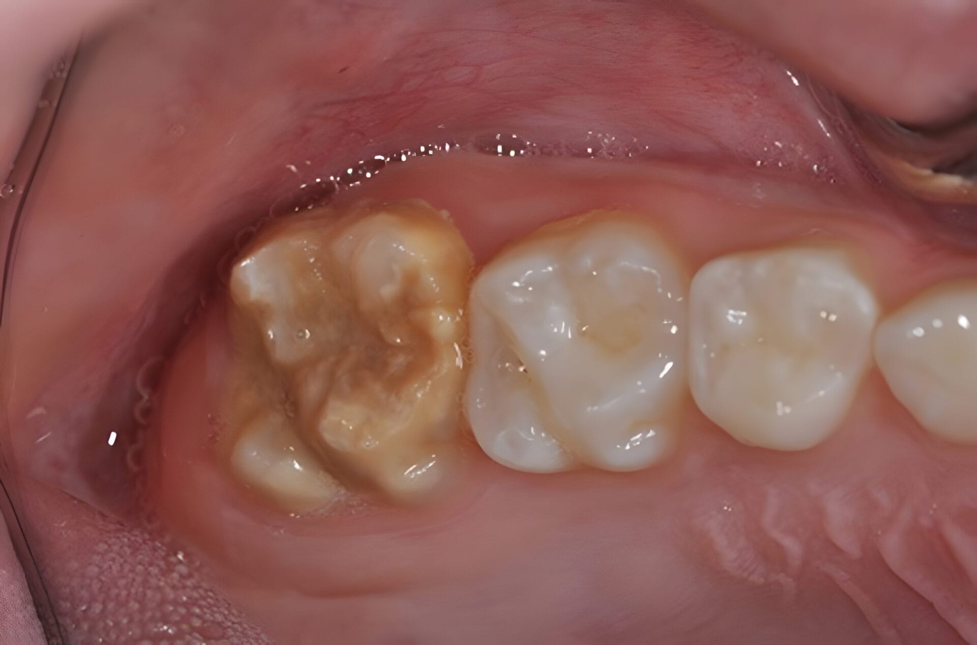
Was sind «Kreidezähne»?
Kreidezähne, auch Molaren-Inzisiven-Hypomineralisation (MIH) genannt, sind eine Zahnschmelzbildungsstörung. Dabei ist der Zahnschmelz unzureichend mineralisiert, wodurch er weicher, poröser und bruchanfälliger wird. Betroffen sein können sowohl das bleibende Gebiss als auch das Milchgebiss. Typisch sind umschriebene, weissliche bis gelblich-bräunliche Verfärbungen. Der geschwächte Schmelz kann leichter ausbrechen und die Zähne reagieren oft empfindlich.
Woran erkenne ich Kreidezähne?
Typische Anzeichen:
- Flecken/Verfärbungen (weiss, gelb, braun) mit klaren Rändern
- Empfindlichkeit auf Kälte, Wärme, Zähneputzen oder Süsses
- Rascher Substanzverlust: Schmelz bricht beim Kauen oder Putzen ab
- Putz-Probleme: Kinder vermeiden die schmerzhaften Stellen, wodurch Kariesrisiko steigt
Wenn Sie eines dieser Zeichen bemerken, lohnt sich eine kontrollierte Abklärung bei uns.
Wie entstehen Kreidezähne?
Die exakte Ursache für Kreidezähne ist vielschichtig und noch nicht geklärt. Fachleute diskutieren Störungen während der Zahnentwicklung, die beispielsweise durch Fiebererkrankungen, Umwelteinflüsse, bestimmte Medikamente oder Frühgeburtlichkeit entstehen. Wichtig: Die Eltern sind nicht schuld. Entscheidend sind eine frühe Diagnose und eine passende Behandlung.
Warum ist eine frühe Behandlung wichtig?
und besseres Zähneputzen
an den gefährdeten Stellen
je früher, desto schonender
und schönes Lächeln
So helfen wir in der Zahnpraxis Papieri
Unser Team verfügt über Erfahrung mit Kinderzähnen und sensiblen Zähnen. Da die Mineralisationsstörung von Kreidezähnen nicht rückgängig gemacht werden kann, gibt es keine Heilung im eigentlichen Sinne. Regelmässige zahnärztliche Kontrollen sind wichtig, um den fortschreitenden Abbau frühzeitig zu erkennen und die Zähne zu schützen.
Unser Fokus liegt auf minimalinvasiven Strategien. Unser Ziel ist es, den Zahnerhalt zu fördern und Beschwerden zu reduzieren.
Unser Tipp: Frühzeitige Kontrolle
Sobald die ersten bleibenden Backenzähne durchbrechen (im Alter von ca. 6–7 Jahren), lohnt sich ein Kontrolltermin. Je früher wir Kreidezähne erkennen, desto schonender behandeln wir.
Haben Sie den Verdacht, dass Ihr Kind Kreidezähne hat?
Wir nehmen uns Zeit für Sie – ruhig, einfühlsam und kindgerecht). Je früher wir Kreidezähne erkennen, desto schonender können wir behandeln.